La sentencia confirma la incapacidad permanente absoluta de un trabajador autónomo y fija una pensión vitalicia del 100% de su base reguladora. La resolución tiene efectos desde el 24 de mayo de 2022 tras un proceso con denegaciones previas del INSS.
El Tribunal Superior de Justicia de La Rioja ha confirmado la incapacidad permanente absoluta a un hombre con enfermedad de Cadasil, técnico de soporte informático afiliado al RETA. En consecuencia, percibirá una pensión vitalicia equivalente al 100% de su base reguladora, con efectos retroactivos y descuento de lo cobrado en incapacidad temporal.
Quién puede pedir incapacidad permanente absoluta por Cadasil según este caso
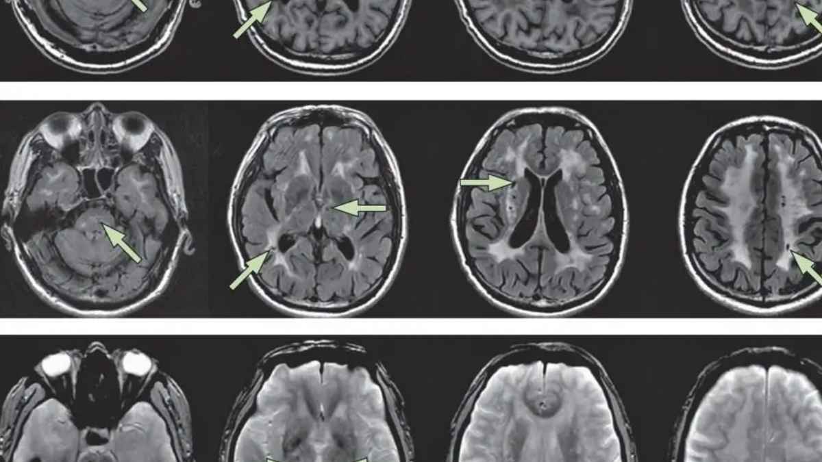
El expediente lo promueve un trabajador autónomo afectado por Cadasil, un trastorno genético raro que daña los vasos sanguíneos del cerebro. ¿El resultado? Reducción del flujo sanguíneo y mayor riesgo de eventos neurológicos serios que impiden trabajar con normalidad.
El Cadasil se asocia a mutaciones en el gen NOTCH3 y a un engrosamiento progresivo de las arterias cerebrales. En este caso, el tribunal valora que las crisis recurrentes y los déficits cognitivos y sensoriales hacen inviable cualquier actividad laboral ordinaria.
Fechas clave, efectos retroactivos y cuantía de la pensión reconocida
La resolución fija una pensión del 100% de la base reguladora, cifrada en 2.404,25 euros mensuales. Además, se reconoce retroactividad desde el 24 de mayo de 2022 y se aplicará el descuento de lo percibido durante la incapacidad temporal. Es decir, se cobra el total, pero se regulariza lo anterior.
| Aspecto | Detalle |
|---|---|
| Prestación | Incapacidad permanente absoluta |
| Régimen | Régimen Especial de Trabajadores Autónomos (RETA) |
| Cuantía mensual | 2.404,25 € |
| Porcentaje | 100% de la base reguladora |
| Efectos | Retroactivos desde el 24 de mayo de 2022 |
| Ajustes | Descuento de importes por incapacidad temporal |
Estos datos resumen el alcance económico y temporal del reconocimiento. Por lo tanto, la sentencia no solo reconoce el derecho, también ordena cómo se liquida.
Cómo se tramitó el expediente ante el INSS y los tribunales
El camino no fue corto. El afectado inició con una incapacidad temporal por enfermedad común y después solicitó la incapacidad permanente ante el INSS, que la denegó tras varias evaluaciones médicas. ¿Te suena esta situación?
- Incapacidad temporal inicial por enfermedad común.
- Solicitud de incapacidad permanente ante el INSS.
- Denegaciones repetidas tras evaluaciones médicas.
- Reclamación previa desestimada.
- Demanda ante el Juzgado de lo Social nº 1 de Logroño.
- Sentencia favorable al trabajador.
- Recurso de suplicación del INSS ante el TSJ de La Rioja.
- El TSJ confirma la incapacidad permanente absoluta y la pensión del 100%.
Esta hoja de ruta muestra, de hecho, cómo se articula el procedimiento cuando la vía administrativa no prospera.
Qué síntomas y limitaciones del Cadasil valoró la justicia en la decisión
La enfermedad suele debutar en la edad adulta con migrañas con aura y puede avanzar hacia accidentes cerebrovasculares repetidos. A partir de ahí, aparecen isquemias que afectan movilidad, memoria y capacidad cognitiva.
También son frecuentes pérdida de fuerza, alteraciones visuales y déficits sensoriales. No obstante, lo determinante aquí es la concurrencia de síntomas y su progresión: el tribunal entiende que las crisis y los déficits del demandante le impiden desempeñar tareas, incluso en empleos menos exigentes.
Preguntas frecuentes que surgen tras una sentencia de incapacidad permanente
¿Desde cuándo se cobra? En este caso, desde el 24 de mayo de 2022, con retroactividad. ¿Qué ocurre con lo percibido por incapacidad temporal? Se descuenta de la suma final. ¿Por qué intervienen varios órganos? Porque el INSS resolvió en vía administrativa y, posteriormente, el Juzgado de lo Social y el TSJ de La Rioja revisaron el fondo del asunto, confirmando la incapacidad permanente absoluta.
Resumiendo, ña resolución consolida el derecho del trabajador a una pensión vitalicia del 100% tras acreditar que el Cadasil, con sus crisis y déficits, le impide cualquier actividad laboral.
